Blepharoplasty – Eyelid Surgery in Sheffield
Eyelid surgery is a safe and long-lasting solution for sagging eyelids, under-eye bags and puffiness. Led by Dr Rohit Seth, this advanced procedure helps you look more awake, youthful, and confident.
Dr Rohit Seth
Procedure Time
Downtime
Price
Final Results
Done Under Local Aesthetics



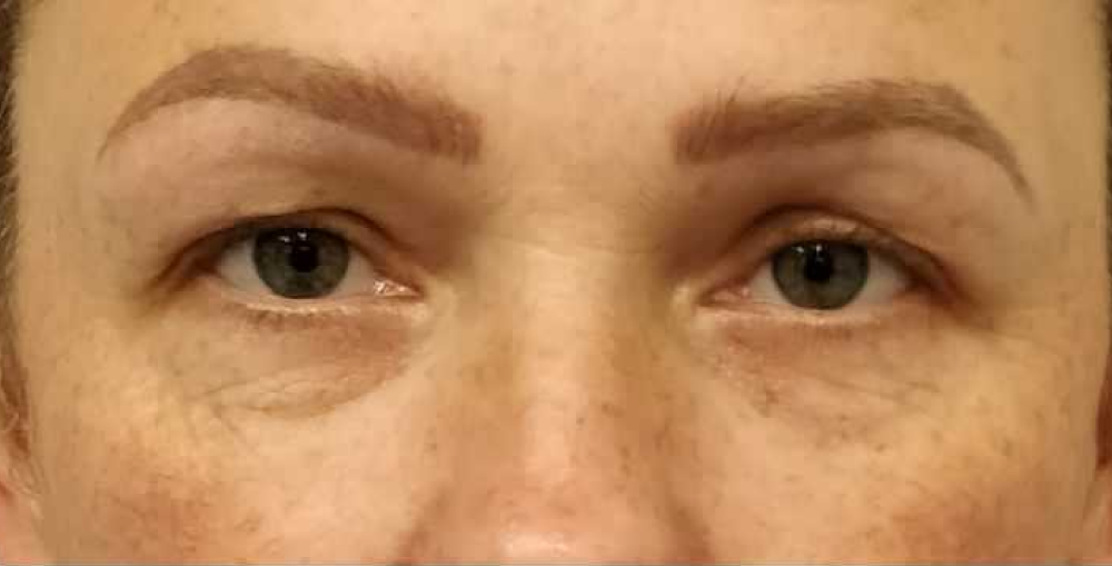
Blepharoplasty Before & After
Your Trusted Blepharoplasty Surgeon in the UK
Dr Rohit Seth brings over 20 years of surgical experience in aesthetic and plastic surgery. Known for his meticulous attention to detail and patient-first approach, Dr Seth has worked in some of the UK’s most prestigious plastic surgery units, offering the highest standards of care to his patients in London and Sheffield.
“My philosophy is simple – natural-looking results delivered with absolute precision and integrity. My goal is to enhance your confidence without changing your identity.”

Dr Rohit Seth
(MD, MRCS(Ed), PhD)
Aesthetic Surgeon
GMC NO: 5207029
Lift Your Confidence
Look More Youthful
Lifts sagging eye lids and smooths under-eye bags for a fresher appearance
Improve Vision
Removes excess skin that may obstruct your eyesight your eyesight
Boost Confidence
Feel better about your appearance with long-lasting results
Quick Recovery
Safe for healthy individuals; downtime is typically only 1-2 weeks

Why do you need Blepharoplasty?
As we age, the delicate skin around the eyes can begin to sag or become puffy, leading to a tired, aged, or heavy-eyed appearance. In some cases, loose skin on the upper eyelids can even affect your field of vision.
Blepharoplasty is a surgical procedure designed to improve the appearance of the eyelids by removing or repositioning excess skin, fat, and muscle from the upper or lower eyelids.
How Does it Work?
Book Your Consultation
Book your appointment with Dr. Rohit Seth. You’ll discuss your aesthetic goals, treatment options, and any concerns you may have.

Personalised Treatment Plan
In your consultation, Dr. Rohit will tailor an eyelid surgery plan to suit your face, so you’ll know exactly what to expect from blepharoplasty.

Get Your Treatment
Your treatment will be carried out in our state-of-the-art clinic in Sheffield. The procedure is quick and comfortable – you’ll be in and out in no time!

BOOK YOUR FREE CONSULTATION TODAY!
Hear it from Our Happy Patients
FAQs
What is blepharoplasty?
Blepharoplasty is a surgical procedure to remove or reposition excess skin, fat, or muscle from the upper or lower eyelids. It helps reduce drooping, puffiness and eye bags, restoring a more youthful and alert appearance.
Are there any side effects or risks I should be aware of?
Like any surgical procedure, eyelid surgery carries some potential risks and side effects. While most people recover smoothly, it’s important to be aware of what may occur:- Dry or irritated eyes
- Mild discomfort or a feeling of tightness
- Temporary difficulty fully closing the eyes
- Infection or bleeding (rare)
- Slight asymmetry or minor visible scarring
- Changes in sensation like numbness or tingling
How is blepharoplasty performed?
The surgeon makes precise incisions along the natural eyelid creases. Excess skin, fat or muscle is then removed or repositioned. The incisions are closed with fine sutures for minimal scarring
Is eyelid surgery painful?
Discomfort is usually mild and manageable with over-the-counter pain relief. Some tightness or swelling is normal in the first few days after surgery.
How long does blepharoplasty take?
The procedure typically takes 45 minutes to 1 hour for either upper or lower eyelids, or up to 2 hours if both are treated together.
Who is a suitable candidate for eyelid surgery?
You may be suitable if you have sagging eyelid skin, under-eye bags, or puffiness, and are in good general health. Candidates should have realistic expectations and may seek treatment for cosmetic or vision-related concerns.







